RXBio Translates Sequence to Science and Industry
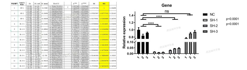
研究某一基因的功能,比较常用的手段是构建细胞敲低/过表达模型,进而研究其转录组水平变化,研究其调控的基因、通路和表型。常用的敲低/过表达细胞模型构建的方法是:瞬时转染质粒/shRNA/siRNA和慢病毒感染制备稳定细胞模型。
但是不同的细胞,需要采用不同的转染条件和手段;关注的不同的基因,选择敲低还是过表达?如何准确的质控,保障后续测序数据和表型实验结果的可靠真实,高质量和可重复?这些将成为准确构建细胞敲低/过表达模型的关键因素。
✔ 我司具备百余种细胞转染操作及项目经验库,为您心仪的细胞模型量身定做最优转染方案;
✔ 严格质控,层层把关,保障后续测序数据和表型实验结果的可靠真实,高质量和可重复性;
✔ 数据分析作图和英文材料方法,详细的原始数据,为您发表文章保驾护航;
✔ 已发表的文章案例
✔ 我司具备百余种细胞培养和转染经验,涵盖各个疾病类型,如右表(包含但不限于此):
交付内容:
A. 所有实验结果的原始数据
B. 实验报告(含详细的实验步骤,主要仪器和试剂的厂家货号信息)
C. 英文材料方法
电话:027-870502099
邮箱:sales@rxbio.cc
地址:武汉市东湖高新区高新二路388 号
光谷生物医药加速器 18 栋 1-2层
单细胞多组学 空间转录组
三代测序 功能基因组
表观遗传学 互作组学
单细胞大数据 数据深度挖掘

欢迎关注公众号「瑞兴生物」